Specifications
5' to 3' exonuclease: No
3' to 5' exonuclease: No
3’ – A Overhang: No
Fragment Size: Up to 10 kb
Application
- First-strand synthesis of cDNA from RNA molecules (RT)
- RT-PCR
- Random priming reaction
- Library construction
- Probe labeling
- mRNA 5end Mapping by Primer Extension Analysis
- Real time PCR
Experimental data

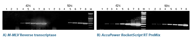
Figure 1. Sensitivity comparison between AccuPower® RocketScript™ RT PreMix and M-MLV RTase
Sensitivity results of AccuPower® RocketScript™ RT PreMix using GAPDH compared with conventional Reverse transcriptases.
Each 100 ng – 10 fg of total RNA used for RT and the same amount of RT products used for electrophoresis.
Lane 1: 10 fg Human total RNA from HeLa cell Lane 2: 100 fg Human total RNA from HeLa cell
Lane 3: 1 pg Human total RNA from HeLa cell Lane 4: 10 pg Human total RNA from HeLa cell
Lane 5: 100 pg Human total RNA from HeLa cell Lane 6: 1 ng Human total RNA from HeLa cell
Lane 7: 10 ng Human total RNA from HeLa cell Lane 8: 100 ng Human total RNA from HeLa cell

Figure 2. Comparison of amplification efficiency between AccuPower® RocketScript™ RT PreMix and competitors M-MLV RTase.
RocketScript™ is able to handle a wide range of sample concentrations and transcript lengths so your downstream applications are minimally effected by the reverse transcription step.
Lanes 1-3: 1,000 ng, 100 ng and 10 ng of total RNA from HeLa cells, respectively.

Figure 3. Sensitivity comparison between AccuPower® RocketScript™ RT PreMix and competitor RTases using Real Time PCR
Reverse transcription conditions: conventional 1 hr incubation at 60°C, deactivation at 95°C for 5 min All cDNAs were amplified with AccuPower® DualStar™ qPCR PreMix (K-6110) from Bioneer.
Concentration |
RocketScript™ RT PreMix |
Supplier Q |
Supplier I |
10,000 |
23.91 |
25.63 |
24.43 |
1,000 |
27.33 |
28.92 |
28.03 |
100 |
30.62 |
32.42 |
30.88 |
10 |
33.63 |
35.43 |
33.95 |
Efficiency |
104% |
103% |
108% |
Linearity |
0.99999 |
0.9996 |
0.9995 |